此病例其实早早就结束也做好幻灯,因为是投稿病例就迟迟未发出来,2017年4月投稿Ormco Forum没被选上,心想肯定石沉大海,又转投稿给2017年9月全国正畸年会,没想到双喜临门,8月初先被通知正畸年会的Ormco专场要上台做汇报,后宣布此病例进入年会全国前60强。
本期是位稀有的男主角是个高个帅小伙,辗转多家医疗机构被告知正颌手术是唯一办法,患者家长得知手术的凶残性就特别抗拒,侥幸到我这随便一问,我答复可以不手术正畸代偿。全家开始半信半疑,后来间隔2个月估计还是报着试试看的想法再次回来。
口内检查及模型情况:
中位笑线,系带附着未见明显异常,伸舌居中,舌体运动正常。
恒牙列,牙周良好,磨牙尖牙近中关系,牙弓狭窄,
前牙反合并开合(约2毫米),
上牙弓狭窄伴重度拥挤(10毫米),下牙弓中度拥挤(4毫米),
两侧SPEED曲线深约0.5毫米,
前牙BOLTON比76.5%,全牙BOLTON比88.4%,
上中线右侧偏移4毫米,13颊侧异位,
12 15 25反合,25扭转,
17及27部分萌出未建合,
35舌倾。
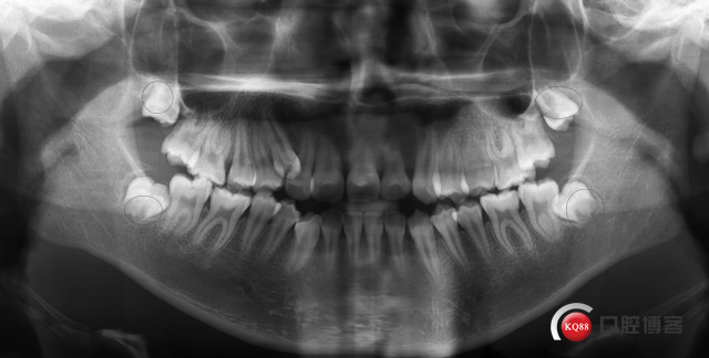
初诊全景片:智齿牙胚存,38,48牙冠基本发育正常,位置较正,髁突右侧略大于左侧,下颌升支无明显不对称。
诊断:
牙型:安氏Ⅲ类错合;
骨型:一类高角,下颌发育过度,下切牙代偿性舌倾
告知患者和家长正畸联合正颌手术会有个比较好的面型改善,但患者坚决不同意,愿意接受掩饰性正畸治疗。
治疗计划:
拔除37,47,全口固定矫正,使用低转矩DamonQ金属自锁托槽,粘接全口托槽
42.41.31.32倒粘(托槽转矩从-11度变成+11度)、通过配合Damon含铜镍钛弓丝扩大上颌牙弓,在13和25处放置推簧,待推出足够空间在将13,25纳入牙弓。下颌排齐后在外斜线处植入2*10mmVector支抗钉整体远移下牙弓,调整磨牙尖牙关系及覆合覆盖问题。要求患者进行舌肌锻炼。
我们预期结果是这样
一起来看看怎么实现
前后对比
要感谢林老师指出我这里的一个不足,下颌的牵引要用短牵引钩,长的不利于下颌平面的逆旋,长问号钩更适合整体平行远移下颌牙列!!
短短10分钟病例汇报,现在回想起来都腿软


